
Your smile is the basis of how you communicate with the world. We understand the impact that feeling self-conscious and hiding your smile can have on your confidence and your life.
Luckily, with the broad range of cosmetic dentistry treatments that we offer, our team at Arlington Dental Clinic can save your teeth from any discoloration, misalignment, chips, or gaps.
Dr. Gundarpi and Dr. Ummareddy will use their over two decades of combined clinical experience and the latest dental technology to draw up a personalized treatment plan for you. Contact us today and get the bright, beautiful smile you've been dreaming about!

Over time, your teeth will naturally become stained or discolored. Factors like aging, certain foods and drinks, and certain medications all contribute to gradual discoloration. We offer professional in-house teeth whitening services to help you restore the natural whiteness of your teeth and give you a brighter, revitalized smile. With Zoom Whitening, we can remove stains from your teeth in under an hour!

Dental bonding is a quick and non-invasive cosmetic dentistry option that involves applying a tooth-colored resin to the surface of your teeth. The resin is then shaped and hardened to improve the appearance of your teeth, fixing issues like chips, cracks, gaps, or uneven teeth. Dental bonding is an affordable, less invasive alternative to veneers and can be completed in just one visit!

Invisalign® is a popular orthodontic treatment that straightens teeth using clear, removable aligners. It is a discreet, virtually invisible alternative to traditional metal braces and a great option if you want to improve the appearance of your teeth without the hassle of traditional braces. As a trusted cosmetic dentist in Arlington, TX, Arlington Dental Clinic is a certified Invisalign® provider and can help you achieve a straighter, beautiful smile.

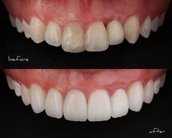
Are you unhappy with your smile? Veneers could be the answer you've been looking for! Thin shells of porcelain or resin that are custom-made to fit over the front of your teeth, veneers are a popular cosmetic dentistry treatment because they can quickly and easily cover up chips, cracks, gaps, or misshapen teeth in your smile. Our experienced cosmetic dentists here in Arlington will match the color, shape, and size of your veneers to your natural teeth so you can achieve a natural-looking, flawless smile. Say goodbye to minor imperfections!

Crowns, or caps, are dental restorations that fit over your entire tooth to improve its appearance and strength. They are used to treat a variety of issues, mainly broken or severely decayed teeth, and can be made of porcelain, ceramic, or composite dental material. Our doctors will carefully match the color of the crown to your natural teeth, ensuring a seamless and natural-looking result.

Missing teeth can be embarrassing and uncomfortable. The space left by missing teeth can also cause your surrounding teeth to shift out of place. Dental implants are artificial tooth roots used to replace missing teeth. Crowns that look, feel, and function like your natural teeth are then attached to the dental implants. We work with in-house implant specialists to provide dental implants so you can regain your self-confidence, improve your health, and start smiling again.

Orthodontic treatment is more than simply straightening your smile. It can also correct bite issues, reposition a misaligned jaw, reduce any overcrowding, close small gaps in your teeth, and improve your overall health. After receiving quality orthodontic treatment, you will have fewer problems with decay, less risk of developing TMJ disorder, and increased comfort when chewing or speaking. Whether you are interested in Invisalign clear aligners or traditional braces, Dr. Gundarpi and Dr. Ummareddy are able to provide in-house, comprehensive orthodontic treatment to give you a straighter, more even, comfortable smile.

We are committed to helping you achieve the smile of your dreams. Whether you are looking to brighten your teeth with a teeth whitening treatment, improve the appearance of your teeth with veneers or bonding, or straighten your teeth with Invisalign®, our cosmetic dentists in Arlington, TX, have the experience and expertise to help you achieve your goals.
Are you ready to take the first step towards a brighter, more beautiful smile?
At Arlington Dental Clinic, Dr. Gundarpi and Dr. Ummareddy will work closely with you to create a personalized treatment plan that meets your unique needs and our friendly team will be with you every step of the way. Get started on your journey to a better smile today!
Open today | 09:00 am – 05:00 pm |